 
    
    ЦИФРОВОЙ РЕНТГЕН В ВЕТЕРИНАРИИ
 
      
      Рентген в ветеринарии давно не новинка. Первое руководство по ветеринарной рентгенологии было написано немецким ученым М.Вейзером еще в 1923 году.
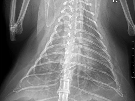
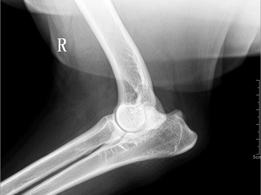
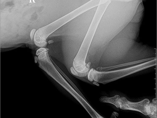
Коллиматорный прицел формирует пучок рентгеновского излучения на участок исследования. Проходя через ткани тела, излучение попадает на плоскопанельный цифровой детектор, который, в свою очередь, передает сигналы на компьютер.
В считанные секунды полученные данные обрабатываются компьютером посредством установленной на него программы визуализации, и сформированное клиническое изображение выводится на монитор лаборанта.
Клинические изображения (снимки) можно напечатать на принтере, сохранить в архиве или отправить по сети коллегам для оперативного консилиума.
Цифровая рентгеновская установка ASR-6150C поставляется с мобильным столом пациента и комплектом рентгенопрозрачных анатомических ложементов всех размеров, видов и пород домашних животных.
 
         
         
         
         
         
         
         
         
         
         
         
         
         
         
         
         
         
         
         
         
         
        <
11 - 11
>
РЕНТГЕН ПРОЗРАЧНЫЙ СТОЛ
 
       
      Рентген прозрачный стол для подготовки и проведения ветеринарных исследований малых домашних животных, с функцией взвешивания и системой фиксации.
Габариты: длина, мм, 2000
Габариты: ширина, высота, мм, 660х660
Максимальная нагрузка, кг, 220
Толщина слоя полупоглощения панелей стола Al, мм, 0,8
Блокировка стола
Поворотные колеса, 4 шт.
Встроенные весы для измерения веса животного.
Встроенные устройства фиксации:
- опоры для крепления фиксирующих элементов, с изменяемой конфигурацией, учитывающие анатомические особенности в ветеринарии
- крепления для установки рентген прозрачных форм для фиксации животного.
Хотите больше узнать о программе «ЦИФРОВОЙ РЕНГЕН В ВЕТЕРИНАРИИ - VETERINARY SCRINING»?
Позвоните по телефону +7 (499) 214 0650 или напишите нам info@anke.com.ru
COPYRIGHT © 2017 ООО "СМ-ЛАБСЕРВИС"